Before & After Smile Gallery
-
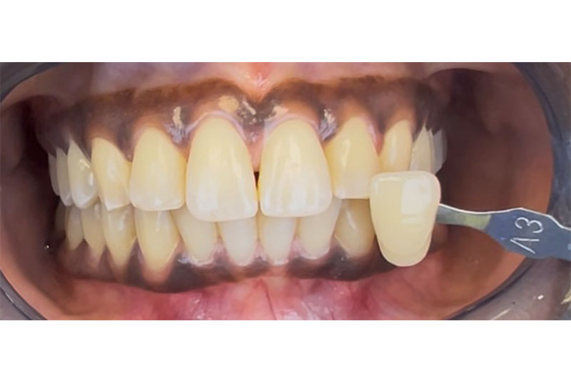
Before
After
Zoom Whitening
From Digital X-rays to the VELScope® Oral Cancer Screening, our office offers all the latest technology for your dental visit.
See Office Technology
Refer a friend to our office and receive a $25 visa gift card or account credit towards treatment when they come in for a new patient exam.
Contact us